矯正の症例の最近のブログ記事
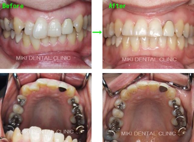
前歯は、仮の歯の段階で、歯の大きさを黄金比率に設定し、歯茎のトリミング(切除)を行いました。スマイルラインも整え、笑顔を最大限にひきだすよう治療しております。
最終的に前歯は、セラミックの被せ物を使用(オールセラミック・内面ジルコニア・人工ダイヤモンド)+スーパーエナメル
奥歯(右下・左下・左上)は、噛み合わせ治療を行った後に、メタルボンドで修復しております。
患者様と相談の結果、前歯の色味(濃さ・シェード)は、一番白いタイプとなりました。
皆様こんにちは。衛生士の伊東です。
さて、今回は、当院でも力を入れております子どもさんのマウスピース矯正について書かせていただきます。
現在11歳の娘がマウスピース矯正を始めて、1年半ほどが経過いたしました。
元々、下の前歯の歯並びが残念なくらいにガタガタで、床装置(顎を拡大して歯の生えるスペースを作る装置)やブラケット矯正(歯にブラケットを貼り、ワイヤーを通して歯並びを整える方法)が必要になるだろうと思っておりました。しかし、この下写真のように装置1つでここまで綺麗な歯並びになりました。
なんということでしょう~~~★本人も大喜びです!!
矯正スタート時は唇の筋力もかなり弱かったので、毎日5分間のトレーニングを継続し、1ヶ月ほどで理想的な値まで筋力は上がりました。
マウスピースを入れることで、口の周りの筋肉のバランスが整えられていきますが、それに加えて舌や口輪筋や唇の筋力を上げるためのトレーニングを続けることも重要です。
その他に、普段から正しい姿勢を本人にもできるだけ意識させ、私が気付いた時には何度も何度も姿勢を正すように声掛けを続けています。
(姿勢に関してはいまだに注意が必要です...)
又、入浴時のあいうべ体操も一緒に毎日続けています。
<あいうべ体操> 免疫力upでインフルエンザ、風邪予防にも効果的!
あとは就寝時にマウスピースを入れ、口テープを欠かさずに貼って寝る!!
これだけを1年少しの間、毎日継続して行ってきました。
意外にも、本人が勝手に全て管理してやってくれていますので、私は口テープを切らさないように気をつけるくらいです(笑)
その結果、驚くべきほどに歯並びは改善し、本人も痛みや治療に伴う煩わしさなど一切感じることなく、矯正治療を進めることができております。
他の矯正治療(床装置やブラケット矯正、抜歯矯正など)は何かしらお痛みを伴うことが多いですが、マウスピース矯正では痛みもありません。
この点は親にとっても大変ありがたいことです。
マウスピースを学校に付けて行く必要もないので、見た目を気にすることもなく、矯正を進めることができる点も大きな魅力であると感じます。
そしてもうひとつ、このマウスピース矯正の魅力は、上下一体型の装置であることによって、安定した噛み合わせを作り上げながら、歯並びも整えることができる点です。
上の歯並び、下の歯並び、たとえそれぞれが綺麗に並んだとしても、上下の噛み合わせがしっくりこなければ健康的な状態とはいえませんからね...。
見た目だけの歯並びの矯正ではなく、噛み合わせも含め、舌の位置、口の周りの筋力のバランスも整えながら矯正できるのは、やはりマウスピース矯正だけです!
素晴らしいでしょ?
今後、このマウスピース矯正がどんどん広まっていくことを願っていますし、広まることを確信しています。
ただ、マウスピース矯正は取り外し可能な装置を使用するため、治療をスムーズに進めるためには毎日決められた時間(基本的には就寝時と日中1時間のみ)、必ず装置を入れていただくことが絶対条件になります。
そして、健康的な口元作りのためには、常に口を閉じた状態で鼻呼吸ができるようになることも大切です。
就寝時の口テープは毎日実践し、日中も口が開いた状態にならないように鼻呼吸の習慣化を意識しましょう!
(ちなみに、我が家の長女はもともとアレルギー性鼻炎でほぼ口呼吸でしたが、毎日口テープを貼って寝るようになったことで、今ではアレルギーの薬も必要なくなり、日中も無意識に鼻呼吸できるようになりましたよ)
マウスピース矯正は患者様主体の治療になりますので、お子様ご本人の自覚ややる気に加え、それをサポートしていただく親御様の協力が不可欠です。お家でのトレーニングを含め、装置の使用についてもご家庭でしっかりと管理をしていただく必要があります。
(その代わり、通院回数は少なくて済みますから頑張りましょうね!)
でも、決してそんなに難しい課題ではありませんし、頑張れば頑張った分だけ成果が目に見えて現れてきます。
それがまたモチベーションにもつながりますので、前向きに治療に取り組んでいただけると思います。
マウスピース矯正のおススメポイントを挙げてみましょう♪
①治療中、痛みを伴わない。
②装置の使用時間は、就寝中と日中1時間のみでOK。
③学校に付けて行く必要がないので、見た目や発語を気にすることなく治療できる。
④通院回数が少ない。(習い事などで忙しいお子様にもおすすめです)
⑤治療費が安い。(検査料+装置代)
⑥上下の歯の噛み合わせを安定させながら歯並びを整えられる。
⑦治療後の後戻りがほとんどない。
奈良県内でもマウスピース矯正を本格的に取り入れているクリニックはまだまだ少ないのが現状です。
そのため、院長を始め、当院スタッフは日頃から色々な勉強会やセミナーに参加し、他院見学を通じて勉強させていただいたりもしながら、試行錯誤を繰り返し、効果的なトレーニングメニューを考え、導入しています。
矯正治療は早期発見、早期開始できれば、負担も少なく治療費も抑えられます。
マウスピース矯正もできれば10歳頃までに、遅くても中学生に上がるまでには終えられるように、なるべく早い時期からの治療開始をおすすめいたします。
お子様の歯並びが気になっていらっしゃる方がおられましたら、一度当院にご相談くださいね。
まだ大丈夫かな?...と先送りにされている時間が実はとてももったいないことも少なくありませんので、どうぞお早めに無料相談にお越しくださいませ。
スタッフ一同、精一杯サポートさせていただきます。
歯科衛生士 伊東奈美
※当院では、無料で矯正治療相談・審美治療相談、治療費用の見積もりを行っておりますので、お気軽にご相談下さい。(フリーダイヤル 0120-08-0461)
奈良の歯医者|歯科 インプラント|ホワイトニング|審美歯科|矯正歯科なら美希デンタルクリニック
ご相談、ご質問がございましたらお電話・メールにてお気軽にお問い合わせください。お問い合わせ・ご予約:0120-08-0461
2014.10.8 ブログより
(その1)子供のマウスピース矯正を始めました~筋機能矯正装置(T4K)~
皆様こんにちは。衛生士の伊東です。
秋も少しずつ深まり、まもなく紅葉シーズンを迎えますね![]()
![]()
私は先日、ひと足早くに御在所岳に登ってまいりました!
さすがにまだ紅葉は見られませんでしたが、久しぶりにマイナスイオンたっぷりの大自然を満喫することができました(*'▽')
広大な海や壮大な山を目の前にすると、本当に心が洗われるかのようです...。
皆様も、それぞれの秋をどうぞ素敵にお過ごしくださいね。
さて、今月は、少し前からスタートさせていただきました、次女の矯正治療について書かせていただきたいと思います。
現在小学校4年生の娘ですが、下顎がやや小さめで、永久歯が綺麗に並ぶスペースが確保できておりません...。
私自身、もっと早くに美希デンタルクリニックと出会っていたなら... きっとこんなことにはなっていなかっただろうと残念です。
永久歯の生えるスペース不足=顎の発育不足ですが、小さい頃から正しくしっかりと噛む力を身に付け、正しい姿勢や正しい呼吸を獲得できていれば、顎はきちんと成長しますので、きれいな歯並びを自然に手に入れることができるのです。
でも、恥ずかしながら、娘の幼少期に私自身がそこまでの知識を持っていなかったために、娘にはこうやって矯正治療により歯並びを治すことになってしまいました。
当院では、基本的には歯を抜かない方法、主に床矯正による矯正治療を行っておりますが、院長が最近注目されている最新の矯正治療である筋機能矯正装置(T4K)を使って、娘の矯正を開始することになりました。
この筋機能矯正装置とは、簡単に説明しますと、弾力性のあるマウスピースのようなもので、基本的には就寝中に装着し、あとは日中の可能な時間帯にも出来る限り長く装着できると、より効果が期待されるというものです。
過蓋咬合や軽度の顎の成長不足などが、この筋機能矯正装置の適応症になるのですが、装置を装着することによって、口の周りの筋肉の状態を改善しながら舌の位置も是正し、さらには鼻呼吸を促し、正しい顎の成長につなげていくというものです。
筋機能矯正装置には、T4K、マイオブレース、プレオルソ、ムーシールド、パナシールドなどがあります。
床矯正は、装置を使って力を加えながら強制的に顎を広げていくのに対し、T4Kは筋機能を改善していく中で、自ら力で正しい顎の成長を促すというものです。
この方法で矯正治療が成功すれば、後戻りはほとんど心配ないのではないかと思います。
ここが筋機能矯正装置の最大の魅力かもしれませんね。
娘が治療を始めてからまだひと月ほどですが、日中の装着時間がまだまだ足りないなあと感じているのが現状です。
取り外しできる装置ですので、本人の自覚がないとどうしても装着時間が短くなりがちです。
口輪筋(口の周りの筋肉)を鍛えるためのトレーニングは努力の成果が早くに現れてきましたが、正しい姿勢を意識し、装置をもっと長時間きちんと使用することが今後の課題です...。
筋機能矯正装置は、治療の段階別に装置の硬さをより硬いものへと交換しながら進めていきますので、次のステップへ移れるようにもっと頑張らなければなりません(^-^;
当院のお客様でも、この筋機能矯正装置を使った治療を始められる方が少しずつ増えていらっしゃいました。
方式は違いますが床矯正と並ぶ理想的な矯正治療ができることでしょう。
娘の治療を通して、私もまだまだ学ぶべきことはたくさんありますが、親子二人三脚で治療が成功するように歩んでいきたいと思います。
この最新の筋機能矯正装置を使った治療にご興味を持たれた方は、是非、当院の矯正治療無料カウンセリングにお越しくださいませ。
衛生士 伊東奈美
※当院では、無料で矯正治療相談・審美治療相談、治療費用の見積もりを行っておりますので、お気軽にご相談下さい。(フリーダイヤル 0120-08-0461)
2015.1.21 ブログより
(その2)装置を入れて3ヶ月がたちました!★子供のマウスピース矯正~筋機能矯正装置(T4K)~
いかがでしょうか?
マウスピース矯正を始める前と、スタートしてから3ヶ月経過時点での比較です。
下の前歯4本の歯並びが、たった3ケ月で整い出しているのが一目瞭然ですよね!!
予想以上のものすごい成果を目の当たりにし、驚きと嬉しさで感動してしまいました!
もちろん、毎日寝る前にマウスピースを欠かさず入れ、マウステーピング(口呼吸防止のために口にテープを貼ります)を実践し続けている娘自身も、「めっちゃすごいやん!やって良かったー(^^♪」と、大喜びです!
これだけ短期間で目に見えて成果が現れると、本人も「引き続き頑張ろう!」とモチベーションも上がったようです。
犬歯が少し外側に顔を出し始めていますが、「あと3ヶ月ぐらいでだいたいきれいに並ぶんじゃない?」 と、院長がおっしゃってくださり、親子でますます楽しみにしております。
←マウスピース装着中です♪
この矯正に使用するマウスピースは、舌を本来あるべき位置に自然と誘導してくれるという大きな効果もあります。
マウスピースを入れることにより、口の周りの筋肉を鍛え、歯を抜くことなく正しい歯列へ導きます。
間違った舌位置や口呼吸のような筋機能癖を正し、歯並びや顎の発達に良い影響を与えながら歯列を改善していくので、本当におすすめできる矯正法だと思います。
当院でもこのマウスピース(筋機能矯正装置)矯正を始められる患者様が徐々に増えてこられました。
ご家族様で1回限りではありますが、矯正の無料相談もございますので是非ご活用くださいませ。
おひとりでも多くの方が美しい歯並びと笑顔を獲得されますよう、お手伝いさせていただきますね(^-^)
衛生士 伊東奈美
春の訪れとともに花粉病の方には辛い季節がきましたね。
昨年はブログでも紹介させて頂きました「あいうべ体操」の効果もあり、それまで花粉症に悩まされていた私が内服薬も点眼薬も必要なく過ごせました。
その後も免疫力を上げて花粉やウィルスに打ち勝つ為にスタッフ一同毎日欠かさず「あいうべ体操」をしております。
とある患者様によると、奈良県の大和郡山市の小学校でも実際にインフルエンザ予防として「あいうべ体操」が行われているそうです。
さて、今回はぜひ皆様にお伝えしたい事があります!!
2014年4月から院長に治療を行って頂いておりました矯正治療がついに終了しました!!
現在は歯が後戻りしない為に保定装置(リテーナー)を装着し歯の裏にも固定する為のワイヤーをつけて頂いております。
実際に私が22歳から床矯正、ブラケット矯正をした感想は、まず第一に歯を抜かずに済んだ事が一番ありがたかったということです。
少し話はそれますが皆様、1本の歯の価値をご存知ですか?
インプラントでは1本の治療で35~50万円はかかってしまいます。
ですが、このような高額なインプラントでも機能や素材において自身の歯を上回る事はないのです。
そんな価値のある歯を抜歯矯正を選択することですると平均4本も抜く事となります。
もったいないですよね。
抜歯の弊害は歯を抜くことだけではなく正しい呼吸方法も手に入れにくくなってしまいます。
歯並びの悪さの原因は顎の未発達で顎が狭くなっているケースが大半です。
顎は小さく気道も狭いままなので、鼻では息がしづらく自然と口呼吸になってしまい、さらに歯並びを悪くするという悪循環となっているのです。
抜歯矯正はその小さい顎を拡げず歯を抜くことによって歯の並ぶスペースを作ります。
要するに原因を根本的に取り除く方法ではないのです。
もちろん噛み合わせもそれなりになってしまいます。
私は歯を抜かずに顎を拡大し歯並びを良くして頂いたおかげで、顎が拡がり鼻呼吸がしやすくなりました。
噛み合わせも本来あるべき形になっています。
一方でこの年齢で歯を抜かずに矯正することができたのは院長の高い技術力とともに自分自身の努力も大いに必要でした。
(歯を抜かない床矯正は、別名「自力矯正」と呼ばれています)
私自身が床矯正をして苦戦した事は
・長時間(20時間以上)装置をつけていなければならず、時間の確保が難しかった。
・スムーズに話す事が出来ない。
・3日に1回ネジを巻かなければいけない。
休日に友人とご飯に行ったりするとどうしても話しながらダラダラご飯を食べてしまう為、時間の確保が難しい一方で、仕事中は話す機会が多い為、装置のせいで会話がしづらいと思う事もありました。
私の場合は歯科医院の同僚同士という事もあり、滑舌が悪い事も理解してくださって笑いに変える事もできましたが、もしお仕事で電話の対応をメインにされる方は少し難しいかもしれないと思いました。
治療のスタートに関して、歯を抜かない床矯正は、基本的に12歳までがひとつの目安とされております。
理想は3番目の歯が生えてくるまでの期間の7~9歳です。
骨が硬くなってしまう12歳以降は、床矯正治療でいう「おじさん、おばさん」年齢になってしまう為、歯が思うように動いてくれない事もあります。
ですから大人になってからの床矯正は根気と努力がさらに必要となってきます。
永久歯が生え揃うまで待っていては手遅れとなり、抜歯矯正となってしまう事があります。
是非お子様の歯並びに悩まれている方は早めに当院へ矯正相談にお越し下さいね。
(初回無料相談有り)
当院では、床矯正以外にもお一人おひとりに合った矯正治療を提案させて頂いておりますのでお気軽にご相談ください。
最後に、日々多忙な中で私の難症例を見事に成功してくだった院長には感謝の言葉しかありません。
本当にありがとうございました。
入職時とくらべると顔つきもぜんぜん変り、笑顔に自信が持てました。
まさに「医者は命を救う、歯医者は人生を救う」の言葉どおりでした。
また、あたたかく見守ってくださったスタッフ、そして本日まで毎回お付き合いいただきました皆様にも感謝をしたいとおもいます。
衛生士 濱崎 美帆
https://www.miki-dental.info/miki-dental-staff-voice/2015/11/post-966.html
https://www.miki-dental.info/miki-dental-staff-voice/2015/10/post-960.html
https://www.miki-dental.info/miki-dental-staff-voice/2015/09/post-946.html
https://www.miki-dental.info/miki-dental-staff-voice/2015/08/post-938.html
当院スタッフ(濱崎)の矯正治療⑮~1年2ヶ月後~
https://www.miki-dental.info/miki-dental-staff-voice/2015/07/post-930.html
当院スタッフ(濱崎)の矯正治療⑭~1年後1ヶ月後~
https://www.miki-dental.info/miki-dental-staff-voice/2015/06/post-925.html
★当院スタッフ(濱崎)の矯正治療⑬~1年後~★
https://www.miki-dental.info/miki-dental-staff-voice/2015/05/post-916.html
奈良の歯医者|歯科 インプラント|ホワイトニング|審美歯科|矯正歯科なら美希デンタルクリニック
ご相談、ご質問がございましたらお電話・メールにてお気軽にお問い合わせください。お問い合わせ・ご予約:0120-08-0461
※当院では、無料で矯正治療相談・審美治療相談、治療費用の見積もりを行っておりますので、お気軽にご相談下さい。(フリーダイヤル 0120-08-0461)
こんにちは。衛生士の榎本です。
今日は、皆様に私の歯をご覧いただこうと思います!
約1年半前から治療開始し、この度、治療完了いたしました!
自他共に認める「出っ歯」だった私が、「普通の口元」どころか、「素敵なスマイルライン」を手に入れることができました。
私の場合、学生時代に神経をとってしまっていたため、治療はすこし大がかりなものとなりました。
神経のある歯でガタつきが気になる場合は「矯正のみ」、歯並びはそのままで神経のない歯の変色の治療は「かぶせる治療のみ」で、きれいになることができるのですが、
私の場合は、歯並びもガタガタ、おまけに神経もない状態でしたので、両方の治療をすることとなりました。
大がかりとはいえ、矯正期間は、約半年(+保定(矯正後の後戻りを防止する)期間)で、前歯4本の神経の治療と被せまでを約1年半(実質治療に要した期間は、約8ヶ月)という、かなりのスピードで院長に行っていただきました。
私の前歯をご覧いただけましたでしょうか?
まるで自分の歯のように、綺麗になじんでいます。
歯ぐきのラインも、院長に合わせていただき、とても嬉しいかぎりです(^-^)。
「あえて神経をとってかぶせる」のが「審美治療」と思われがちですが、そうではなく神経をとってしまった歯を、いかに綺麗にみせるかという本当の審美治療の素晴らしさを実感することができました!
丁寧な治療をしてくださった院長にはとても感謝しております。
ぜひ、口元でお悩みのある方は、「美希デンタルクリニック」にお越しいただくことをおすすめいたします。
もちろん、歯や口元に自信のある方も、「美希デンタルクリニック」にお越しくださいませ(^-^)。
究極の「スマイルライン」でお待ちしております(笑)!!
衛生士 榎本 まりこ
奈良の歯医者|歯科 インプラント|ホワイトニング|審美歯科|矯正歯科なら美希デンタルクリニック
ご相談、ご質問がございましたらお電話・メールにてお気軽にお問い合わせください。お問い合わせ・ご予約:0120-08-0461
過去の矯正治療のブログ
当院スタッフ(榎本)の矯正治療① ~矯正治療を始めました~https://www.miki-dental.info/miki-dental-staff-voice/2013/09/post-722.html
当院スタッフ(榎本)の矯正治療② ~20日後~https://www.miki-dental.info/miki-dental-staff-voice/2013/09/20-2.html
当院スタッフ(榎本)の矯正治療③ ~2ヶ月後~~https://www.miki-dental.info/miki-dental-staff-voice/2013/11/post-739.html
当院スタッフ(榎本)の矯正治療④ ~5ヶ月後
https://www.miki-dental.info/miki-dental-staff-voice/2014/02/post-770.html
スペースを作り、歯の表面をきれいにし、ブラケットというボタンを貼りました。
これを約2週間ペースで、パワーチェーンというゴムの力で、歯をずらしていきました。
年末に調整を行ったので、来年の調整も楽しみだなぁと思いました。
また、わたくしの矯正治療の写真をクリニックの外と、クリニック内に貼らせて頂いたので、ゲストのみなさんから、『矯正しているのね』とお声をかけていただけるようにもなりました。
そして、今回からは右側の3番目の歯も 奥に寄せるようにしました。
左右ともに、パワーチェーンを引っ掛けたので、最初は少し違和感がありましたが、すぐに慣れることができました。
そして右上1番目と3番目をパワーチェーンで結び、 2番目の後ろに通して引っ張りました。感覚で言うと、後ろから前に押し出しているような状態です。
これまで、この歯はパワーチェーンが結べる距離ではなかったので、やはり動いてきているんだなと思いました。
全体のワイヤーを細いものに変え、2番目の歯のボタンに留めました。
ワイヤーを細くし、噛む力でワイヤーを伸ばし、歯を前に引っ張るという仕組みになります。
いままではモジュールというゴムでしか、歯とワイヤーを結べなかったのですが、この日から直接、結さつ出来るようになったのでワイヤーの種類を変えて隙間なく引っ張ることができました。
ワイヤーの太さによって用途が違う事も始めて知りました。
細いワイヤーは、形に自由が効くので、隙間なく引っ張ることが出来ます。
太いワイヤーは、しっかりしているので、引っ張る力が強く最終的に前に出してくれます。
ワイヤーを外した後は、きれいに並んだ歯が再び悪い位置に戻らないようにするため、リテーナーという保定装置を付けます。
【過去の矯正治療のブログ】
当院スタッフの矯正治療⑪~矯正治療 5ヶ月半後~
https://www.miki-dental.info/miki-dental-staff-voice/2012/06/11-6.html
当院スタッフの矯正治療⑩~矯正治療 4ヶ月半後~
https://www.miki-dental.info/miki-dental-staff-voice/2012/05/4-4.html
当院スタッフの矯正治療⑨~矯正治療 4ヶ月後~
https://www.miki-dental.info/miki-dental-staff-voice/2012/04/3-2.html
当院スタッフの矯正治療⑧~矯正治療 3ヶ月半後~
https://www.miki-dental.info/miki-dental-staff-voice/2012/03/3-1.html
当院スタッフの矯正治療⑦~矯正治療 2ヶ月半後~
https://www.miki-dental.info/miki-dental-staff-voice/2012/03/2-7.html
当院スタッフの矯正治療⑥~矯正治療 2ヶ月後~
https://www.miki-dental.info/miki-dental-staff-voice/2012/02/2-6.html
当院スタッフの矯正治療⑤~矯正治療 1ヶ月後~
https://www.miki-dental.info/miki-dental-staff-voice/2012/01/post-534.html
当院スタッフの矯正治療④~矯正治療 約1ヶ月後~
https://www.miki-dental.info/miki-dental-staff-voice/2012/01/post-532.html
当院スタッフの矯正治療③~矯正治療 16日後~
https://www.miki-dental.info/miki-dental-staff-voice/2011/12/16-4.html
当院スタッフの矯正治療②~矯正治療 8日後~
https://www.miki-dental.info/miki-dental-staff-voice/2011/12/post-524.html
当院スタッフの矯正治療①~矯正治療を始めました~
https://www.miki-dental.info/miki-dental-staff-voice/2011/12/post-523.html
スマイルクリエーター 由良なぎさ
ご相談、ご質問がございましたらお電話・メールにてお気軽にお問い合わせください。お問い合わせ・ご予約:0120-08-0461
もう12月ですね
いかがお過ごしですか~?
私の矯正がついに終了いたしました
先日リテーナーと歯の裏につける固定ワイヤーが届き、歯のブラケットを外して頂きました
ぱきぱきっとブラケットを取った後に、歯を磨いていただき、歯の裏側に固定ワイヤーをつけていただきました。
取れた瞬間、歯に何も付いてないツルツルした感じが、とても不思議で、鏡で見るともう矯正前はどんな感じだったか、忘れてしまうぐらい前歯が引っ込んで
いました
ブラケットを着けてから約4ヶ月半!
今思えばあっと言うまでした
歯が綺麗になると、笑うのも楽しくなり少し自分に自信を持つことが出来ました
昔は歯が出ていて どうしようもなかったのが、今では口をしっかりと閉じることができます。今がとっても幸せです
今から1ヶ月はリテーナー(保定装置)を終日入れます。
そして歯が前にでないように、固定します。
それ以降は夜だけと
また出てしまわないよう自分の癖も直していかなければなりません。
わたしは頬杖をつく癖があるので、下の顎に付加をかけてしまいます。
また、寝る方向がずっと一緒
色々な気づかない癖があるので、今の状態をキープ出来るよう悪い癖を直すことも大事です
これは矯正だけでなく、歯・噛み合わせを守るために、大切な事です
皆様もふと自分の癖を思い出してみてください。
私自身この矯正を通して色々な事を体験し、学ぶことが出来ました
この経験を生かし、皆様のお役に立てるよう努力します
今まで矯正治療をしてくださった院長はじめ、スタッフの皆様に感謝をしています。
本当にありがとうございました
私も本当に嬉しくて嬉しくて
カレーを思う存分食べたいと思います
皆様も矯正についてご質問がございましたら
いつでも、お気軽にお声がけくださいませ
過去の矯正治療のブログ
当院スタッフ(大塚)の矯正治療①~矯正治療を始めました~
https://www.miki-dental.info/miki-dental-staff-voice/2012/07/post-592.html
当院スタッフ(大塚)の矯正治療②~10日後~
当院スタッフ(大塚)の矯正治療③~2ヶ月後~
https://www.miki-dental.info/miki-dental-staff-voice/2012/09/post-611.html
当院スタッフ(大塚)の矯正治療④~2ヶ月半後~
https://www.miki-dental.info/miki-dental-staff-voice/2012/09/post-613.html
当院スタッフ(大塚)の矯正治療④~3ヶ月後~
https://www.miki-dental.info/miki-dental-staff-voice/2012/10/post-646.html
当院スタッフ(大塚)の矯正治療④~4ヶ月後~
https://www.miki-dental.info/miki-dental-staff-voice/2012/11/post-647.html
スマイルクリエーター 大塚 千恵
奈良の歯医者|歯科 インプラント|ホワイトニング|審美歯科|矯正歯科なら美希デンタルクリニック
ご相談、ご質問がございましたらお電話・メールにてお気軽にお問い合わせください。お問い合わせ・ご予約:0120-08-0461
●症例4(前歯のみの部分矯正治療)
