美希デンタルクリニック
ホワイトニング
Change Your Smile!
あなたの笑顔をもっと素敵に♪

Change Your Smile!
あなたの笑顔をもっと素敵に♪
● ホワイトニング先進国アメリカより取り寄せた、厳選した薬剤を使用しています。
● ゲストの方の歯の色や歯質、目指す白さに応じて、薬剤の組み合わせや濃度をオーダーメイドで調整しています。
● 当院では常に製造後日の浅い、「鮮度」が高く効果が高い状態の薬剤を使用しています。
● またホワイトニングの施術だけではなく、施術期間中の生活習慣と食事指導も実施しています。
※今までのホワイトニングで効果が出なかった方も、当院までご相談ください。正しく適切に施術すれば白くできる可能性があります。
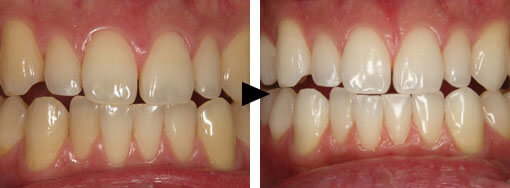
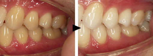
ホワイトニングとは、歯科医師が行う審美治療のひとつで、クリーニングだけでは落とせない、歯牙の奥まで沈着してしまった汚れや黄ばみを、漂白効果のある薬剤を使って白くする方法です。
●ホワイトニングの種類
歯科医院で行うオフィスホワイトニングと、歯科医院で歯型を取ったうえでご自宅で行うホームホワイトニングの2つに加えて、ご自宅で行うセルフホワイトニングと呼ばれるものがあります。
オフィスホワイトニングとは、歯科医院で施術するホワイトニング方法で、特別な薬剤を使用し、機械で光を照射することで薬剤の効果を高め、短時間で歯を白くすることが出来ます。
当院では、「ビヨンドシステム」という最新のホワイトニングマシーンを使用し、ホワイトニングを行います。
ハロゲン光と薬液を反応させることでホワイトニング効果が得られます。
ビヨンドシステムで使用する光は、特殊フィルターを使用し、発熱を防ぐため、歯面、歯の神経へ影響がありません。
ご希望の白さになるまで、1~数回にわたり施術することが多いです。また、1年程度で白さの後戻りがおこるため、維持するためには歯科医院での定期的な施術(1年に1回程度)が必要です。
ホームホワイトニングとは、まず歯科医院で歯型をとり、ご自身の歯にあったマウスピースを作製します。
そのマウスピースに薬剤をいれて、毎日就寝時に装着することで行うホワイトニング方法です。
2~3週間毎日することで徐々に効果を感じるようになります。
ご自宅でリラックスしながら行っていただくことができ、白い歯を持続させる効果も高いというメリットがあります。当院ではこのホームホワイトニングを一番おすすめしております。
当院のホワイトニング薬剤では、歯の白さは、2~3年程度維持されます。
デュアルホワイトニングとは、ホームホワイトニングとオフィスホワイトニングを併用する方法です。ホームとオフィスの単独方法よりも短期間で、より高い効果を得ることができます。
患者様によってタイムスケジュールや組み合わせ方が若干違いますが、期間は約3週間で、来院は2回。オフィスホワイトニングを2回行い、1週間は自宅でホームホワイトニングを行います。即時性と持続性を兼ね備えた当院おすすめのホワイトニング方法です。
セルフホワイトニングとは、ご自宅またはサロンや専門店で、ご自身で行うホワイトニング方法です。
スタッフから説明を受けた後、ご自身で薬剤を直接歯に吹きかけ、光をあてて歯を白くするホワイトニング方法です。
1回あたりの料金は安いですが、効果はとても薄いと言われています。
歯の白さを維持するためにはセルフホワイトニングを定期的に(1ヶ月に1回程度)行う必要があります。
●ホワイトニング


当院のオフィスホワイトニングでは30%の過酸化水素に少しだけポリリン酸を混ぜて使用しております。
ホームホワイトニングでは低濃度から高濃度まで様々な濃度の過酸化水素を用意しており、患者様の歯の色や歯質、目指す白さに応じ、薬剤の組み合わせや濃度を調整しております。
当院の薬剤は約2?3年、白さが長持ちします。
(※個人差がございます)
※セルフホワイトニング
→主に重曹やポリリン酸、炭酸カルシウム、メタリン酸など、市販の歯みがき粉にも配合されている成分を使いますので効果が薄いです。
※オフィスホワイトニング/ホームホワイトニング
→医薬品である過酸化水素や過酸化尿素が主成分の薬剤を用いて歯そのものの色を明るくしたり、白くさせます。
当院では、ホワイトニング施術の前に必ず歯の色味(シェードといいます)を専用のコンピュータで測定しております。
オフィスホワイトニングでは1回の施術で約3トーン白くなると言われております。また、セルフホワイトニングでは白くならなかった方も、ホームホワイトニングでは10トーンも白くなった例がございます。
セルフホワイトニングでは、LEDライトを照射することで歯を白くしていきますが、オフィスホワイトニングでは医療機器として認められたハロゲンライトを内蔵する『ビヨンドシステム』というホワイトニングマシーンを使用しております。ハロゲンの光は歯を白くする波長となっており、歯にマイルドに作用するため、歯面や歯の神経への影響がありません。約1時間で終了するので、セルフホワイトニングに比べ、効果が出るのが早いです。
当院では出来るだけ多くの患者様にホワイトニングの効果を実感して頂けるような価格でホワイトニングをご提供しております。
◎オフィスホワイトニング(60分)
両あご 38,500円 → キャンペーン価格:22,000円
◎ホームホワイトニング(2~3週間)
両あご 55,000円 → キャンペーン価格:38,500円
片あご 33,000円
※ホワイトニングジェル4本付(追加1本3,300円)
◎デュアルホワイトニング(スーパーホワイトニング)
両あご 88,000円 → キャンペーン価格:68,000円
(金額は全て税込)
当院では必ず治療前にお口の中の検査を行い、虫歯等があった場合は治療を行います。
虫歯や歯周病がある状態でホワイトニングをすると、薬剤が刺激になり痛みが発生する場合もありますので、しっかりと対応いたします。
各種ホワイトニングの違い
| オフィスホワイトニング | ホームホワイトニング | セルフホワイトニング | |
|---|---|---|---|
| 国家資格 | あり | なし | |
| 薬剤 | 特別な医薬品である過酸化水素など | 歯磨き粉と同じような成分 | |
| 機械 | ハロゲンライト | なし | LEDライト |
| 歯科の フォロー | あり | なし | |
| メリット | 短時間で白くなる (1回で約3トーン) | 白さが長続きする | 安価 |
| デメリット | 高価 | 高価 | 歯が白くなりにくい 継続しなければならない |
気温が低い時の外気や冷たい水でしみることがあります。痛みが強い場合はすぐにご連絡をください。しみ止めの薬をお渡ししています。
オフィスホワイトニング(クリニックでおこなうホワイトニング)を複数回する場合には、その期間は避けていただいた方がホワイトニングの効果がより高まります。
また、ホームホワイトニングをしている期間は避けていただいた方が効果が高まります。
それ以外の期間で、食べてはいけないものはありません。
ホワイトニングは、基本的に天然歯が対象ですので、冠や部分的に詰め物をしているところは白くなりません。
無理せずにスタッフまでお伝えください。10%のジェルに交換いたします。
10%のジェルでも、2週間おこなっていただくことで、歯は確実に白くなりますので、無理は絶対になさらないでください。